―― 病気の有無だけでなく、“脳の未来”まで見える化 ――

当院の脳ドック(基準コース)
当院では、脳梗塞や脳血管の狭窄・閉塞など、重大な脳血管疾患を早期に発見するための脳ドックを行っています。
検査内容
-
脳MRI
-
脳MRA
-
頸動脈MRA
判定項目
-
脳梗塞やその前兆の有無
-
脳動脈瘤の有無
-
脳動脈や頸動脈の狭窄・閉塞の有無
まずは、この基準コースで命に関わる脳疾患のリスクをチェックします。
オプション:AI脳解析「MVision health」
「なんとなく不安」を「具体的な行動」へ
従来の脳ドックは病変の早期発見が主な目的です。
Mvision health(エムビジョンヘルス)は、ジョンスホプキンス大学特許によるMRIのAI解析システムとビッグデータを用い脳を解析。
脳の「健康度」「老化の進行度」について経時的なモニタリングを可能とします。
これにより、生活習慣の改善を促し、未病段階からのリスク管理を可能にします。
どんな解析をするの?
脳の萎縮

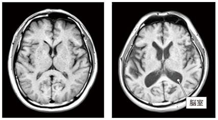
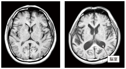
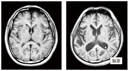
この画像はともに50代の人の脳です。
右の人は脳室(中心にある黒いエリア)が左に比べ拡大しており、脳の萎縮が進んでいると判断されます。
萎縮は脳の機能低下や認知症発症のリスク因子です。
60歳を過ぎても30代並みの若々しい脳を保っている方の例も多くあり、加齢による萎縮の進み方は人によって大きく異なります。
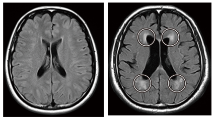
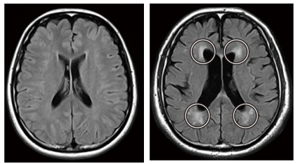
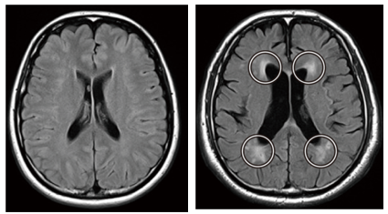
白質病変

右側の画像には白い斑点のように見える領域があります。
これは「白質病変」と呼ばれ、脳血管の虚血を表します。
(脳梗塞も虚血の一種です)
誰でも年齢とともに出現しますが、急速な増加は、将来の認知症や脳梗塞のリスク因子として知られています。
実際のレポート
中村隆人医師のレポートです。
参考にご覧ください。
レポート(サンプル)
特徴
-
脳年齢がわかる
-
同年代との比較が可能
-
経年変化を追跡可能(マイページで確認)
-
生活習慣改善へのマインドアップにつながる

他院MRIデータ持ち込みでの単独利用も可能
すでに他院でMRI検査を受けた方は、条件を満たす画像データをお持ちいただければ、当院でオプション解析のみ(15,000円)をご利用いただけます。
CDを送付または持参ください。
条件
-
スライス厚:1〜7.5mm
-
2D FLAIRを含むMRI画像
エビデンスに基づく脳活
脳容積維持に有用な方法を紹介します。認知症予防の参考にしてください。
運動(最優先)
週150〜300分の有酸素(速歩など)+筋トレ週2〜3回
→12か月で海馬体積+約2%の増加報告あり
食事(グリーン・地中海食)
-
野菜・豆・きのこ・海藻は毎食、魚は週2回以上
-
主な油はオリーブオイル、ナッツ1日ひとつかみ、緑茶を日常化
-
高ポリフェノール型で萎縮進行の抑制が報告
睡眠時無呼吸の治療
いびき・日中の強い眠気があれば評価
→適切な治療(CPAP等)で灰白質・白質の回復が期待
検査と栄養(対象者限定)
B12/葉酸/ホモシステインを採血で確認
→異常がある場合に限り、医師管理下でB群補充(萎縮進行の低下報告)
※ 自己判断サプリは非推奨
生活習慣の見直し
-
血圧:目安は上130mmHg未満(個別調整)
-
禁煙、アルコールは極力少なく(可能ならゼロへ)
-
内臓脂肪のコントロール(体重・腹囲)
-
脳を使う&人と関わる(週2〜3回、学習・楽器・ボランティアなどを“予定化”)
検査の流れ
基準コース+オプションの場合
-
受付・問診
-
脳MRI・MRA、頸動脈MRA撮影
-
AI解析(MVision health)
-
(後日)結果資料の送付+マイページで閲覧 ※希望者は面談
オプション単独利用(他院MRI持ち込み)の場合
-
受付・問診
-
画像データ確認
-
AI解析(MVision health)
-
マイページで結果閲覧 ※希望者は面談
料金(税込)
受けるメリット
-
病気がないだけで安心してしまうリスクを防げる
-
数値化されることで生活改善が具体的になる
-
他院MRIを活用でき、時間もコストも節約できる
よくある質問
A. 条件を満たすMRI画像があれば可能です。
A. 1〜2年ごとの受診で経年変化を追跡することをおすすめします。
A. 可能です。同年代比較や経年変化の評価ができます。